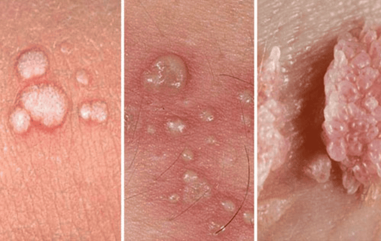
Genital warts is a sexually transmitted infection caused by human papilloma virus (HPV). It is a highly contagious disease spread through direct skin-to-skin contact, usually during genital, oral or anal sex with an infected person. Genital warts may occur singly but, more often than not, appear in clusters. Their size may vary from 1-5 mm in diameter up to large masses in the genital or anal area. They may be hard or soft. The colour may be variable. In females, the warts can develop in vagina, on vulva and cervix. In males, these may form on the scrotum and penis (tip or shaft). Besides, warts can appear on the anus and perineum (area between anus and genitals) in both males and females. Mostly genital warts cause no symptoms and remain silent. But they may cause itching, pain or bleeding. An outbreak of genital warts may trigger psychological distress, such as anxiety, in some people.
Homeopathy offers a natural and highly effective treatment for cases of genital warts. Initially the homeopathic medicines halt formation of new warts and gradually help in dissolving the warts already present on the genitals. Simultaneously, they help to manage any attending pain, itching and bleeding related to warts. Talking of how these medicines score over conventional treatment in treating genital warts, the biggest factor in their favour is that they promote natural healing by fight with the infection. In conventional mode, certain creams and ointments are given in cases of genital warts that can have many side effects. Besides, cauterisation and laser treatment are common options available for treating genital warts. These are temporary measures and do not guarantee that it will prevent the recurrence of genital warts. However, homeopathy is a natural healing science that can completely eradicate genital warts and is totally side effect free.
Homeopathy fights with viral infection
Homeopathic medicines aim to fight the viral infection which is causing warts. These medicines boosts the natural healing mechanism of the body that fight with the virus and help eliminate it from the body. This way it aids natural recovery. They also help to minimise the tendency of recurrence of the genital warts in the future.
Individualized prescription
Homeopathic medicines for treating genital warts are prescribed individually for every case as per the unique characteristic features. A detailed case evaluation is done in every case by a homeopathic doctor to finalise the homeopathic prescription. A complete course of homeopathic treatment guided by a homeopath promises to bring excellent recoveries in cases of genital warts. It is recommended to use any homeopathic medicine for genital warts under the supervision of a homeopathic physician and avoid self-medication.
Homeopathic medicines does not suppress warts
Homeopathic medicines carry no risk of suppressing the warts in any way. If warts are supressed with any means, they may recur anytime in the future and sometimes in a more harsh way. But homeopathic medicines work on a deep level rather than superficially hence promote complete recovery from its roots rather than any suppression for temporary results.
Safe, natural medicines
Homeopathic medicines for treatment of genital warts are totally safe to use as these are prepared from naturally occurring substances. These medicines help in complete recovery from genital warts in the most harmless and gentle way without any side effects.
Homeopathic Medicines for Genital Warts
The most common treatment option available for genital warts is cauterisation. It is a very painful process. In addition to pain, this method does not guarantee that it will prevent the recurrence of genital warts. They are temporary measures and also carry the risk of permanent scarring. The only permanent way out to completely eradicate genital warts is found in the homeopathy. These medicines help in complete recovery from genital warts in the most harmless and gentle way.
Top 6 Homeopathic Medicines for Genital Warts
The highly recommended medicines for genital warts are Thuja, Nitric Acid, Medorrhinum, Lycopodium, Calcarea Carb and Sabina.
1. Thuja – Top recommended medicine for Genital warts
Thuja ranks as the topmost medicine to treat genital warts. It can effectively manage cases of genital warts in both males and females. In males, this medicine is helpful for multiple warts on glans penis. The warts are also present on the shaft of penis and prepuce. These are usually red coloured. The warts can be painful as well. The warts may also spread to anus. In females, this medicine is useful for warts on the vulva and vagina. The warts are painful to touch and can also bleed at times. In females as well, the warts may be present on the anus.
When to use Thuja?
Thuja is a leading medicine to manage genital warts in males and females. In males, it can be given to treat multiple warts on the penis and the prepuce that are reddish in appearance. For females, this medicine can be used for warts on vulva and vagina that are painful and bleed sometimes.
How to use Thuja?
Thuja 30C can be used once or twice a week as per case presentation. This medicine can also be used in 200C power but only under the supervision of a homeopathic doctor.
2. Nitric Acid – For Painful Genital Warts
Nitric Acid is a highly recommended medicine for genital warts that are painful. In cases needing this medicine the warts are large and jagged. The pain present in warts is mainly pricking type. The warts may ooze moisture. These may also have a tendency to bleed.
When to use Nitric Acid?
Nitric Acid is an excellent medicine for painful genital warts, especially with pricking type of pain when warts are large and jagged.
How to use Nitric Acid?
This medicine can be taken in 30C power once a day.
3. Medorrhinum – For Genital Warts in Females and Fishy Vaginal Discharge
This medicine is prominently indicated for cases of genital warts in females along with vaginal discharges that have fishy smell. The discharge is thin. The warts are small, pedunculated with pin heads. One may complain of vaginal itching.
When to use Medorrhinum?
This medicine suits well cases of warts on female genitals with fishy smelling vaginal discharge and vaginal itching.
How to use Medorrhinum?
This medicine can be used in 200C potency once in a week or fifteen days.
4. Lycopodium – For Dry Warts
This medicine is well-indicated to manage dry warts on genitals of male or female. The warts are pedunculated. These are not at all painful or sensitive to touch. In males, itching on the scrotum can be present. In females, vaginal itching can attend warts.
When to use Lycopodium?
This medicine should be considered to treat dry warts on genitals either in males or females when warts are pedunculated and painless.
How to use Lycopodium?
Though this medicine may be used in different potencies, it is best to start with 30C potency once a day. Higher potencies can be considered afterward but only under the supervision of a homeopathic doctor.
5. Calcarea Carb – For Small Skin Coloured Warts on Genitals
Calcarea Carb is an important medicine to help cases of genital warts when warts are small and skin coloured. The warts are round and multiple. These are soft at the base and rough, hard on the upper surface. These may be itchy. Stinging type of pain may occur in these warts.
When to use Calcarea Carb?
Its use is suggested for genital warts that are tiny and skin coloured and occur in multiple number.
How to use Calcarea Carb?
One may use Calcarea Carb 30C once a day.
6. Sabina – For Itchy Warts on Genitals
Sabina is a beneficial medicine for managing cases of itchy warts on genitals. Burning sensation may also be felt in the warts besides itching. In females needing this medicine, vaginal discharges can be present along with stitching pain in the vagina.
When to use Sabina?
Sabina should be opted to manage genital warts that are itchy and have a burning sensation.
How to use Sabina?
It is advised to use Sabina 30C once a day.



